Patologías más frecuentes en TC Hepático
Quistes hepáticos
Los quistes del hígado que contienen fluido seroso son lesiones homogéneas, bien delimitadas, con pared fina y valores de densidad cercanos a los del agua. Si los quistes son pequeños, los efectos del volumen parcial pueden provocar su mala definición respecto al parénquima hepático adyacente. En caso de duda, hay que situar una ROI dentro del quiste y medir su densidad, siendo importante asegurarse de que está correctamente colocado en el centro del quiste, lejos de sus paredes. Si se incluye parénquima hepático adyacente en el cálculo de la densidad, la densitomería media es demasiado alta. Los quistes benignos no muestran realce significativo post medio de contraste intravenoso.
Densitometría (medición de densidad)
Cuando no exista la certeza de la naturaleza de un fluido, la medida de la densidad del líquido permitirá aclarar el diagnóstico diferencial. Sin embargo, no es aconsejable efectuar mediciones de voxels únicos pues esos datos están sujetos a fluctuaciones estadísticas que pueden hacer poco fiable su atenuación. Proporciona mayor exactitud colocar una más amplia «región de interés» (ROI) que contenga varios voxels, sobre una lesión focal, una estructura, o una colección líquida. El ordenador calcula los niveles de densidad media de todos los voxels, obteniendo también la desviación estándar.
Metástasis hepáticas
La presencia de lesiones focales múltiples en el hígado sugiere una naturaleza metastásica. Sus orígenes más frecuentes son el colon, el estómago, el pulmón, la mama, los riñones y el útero, variando su morfología y vascularización según el tipo de metástasis. Por ello, hay que efectuar una exploración helicoidal con contraste tanto en fase venosa como en fase arterial precoz, y así poder definir adecuadamente las lesiones más pequeñas sin confusión posible de las venas suprahepáticas con metástasis.
Si no se dispone de TC espiral, el diagnóstico debe alcanzarse comparando los estudios sin y con contraste. Es muy importante obtener imágenes sin contraste, que siempre deben ser analizadas con ventanas estrechas para aumentar al máximo el contraste del parénquima hepático. Hasta las metástasis de menor tamaño se harán así visibles.
Las metástasis hepáticas suelen distinguirse de los quistes benignos por su mala delimitación y su realce tras el medio de contraste.
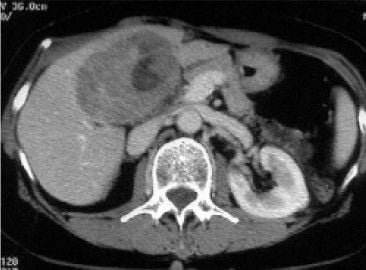
Fig. TC de la parte superior del abdomen de un paciente con carcinoma del intestino grueso que muestra metástasis múltiple hacia el hígado.
La comparación de las imágenes de la TC con los hallazgos ecográficos es muy útil, tanto en caso de duda diagnóstica como para referencia en los controles del tratamiento.
Lesiones hepáticas sólidas
El hemangioma es la lesión benigna más frecuente del hígado. En imágenes sin contraste, los hemangiomas pequeños se ven como áreas de atenuación disminuida, homogéneas y bien definidas. Tras la inyección del medio de contraste, el realce comienza típicamente en su periferia y progresa hacia el centro de la lesión, como si se tratase de un diafragma óptico. En las secuencias de TC dinámicas con contraste en bolus (adquisición de una serie de imágenes de TC post contraste cada pocos segundos en el mismo sitio), el realce avanza centrípetamente. La acumulación del medio de contraste dentro de las cavidades del hemangioma conduce a un realce homogéneo en la fase venosa tardía. Si el hemangioma es grande, este proceso puede llevar varios minutos o nunca llegar a ser del todo homogéneo.
TC dinámica de un hemangioma pequeño en segmento II con alteración de la perfusión en fase arterial. Se cree que los shunts se abren por mecanismo transinusoidal.
El adenoma hepático se presenta sobre todo en mujeres entre los 20 y los 60 años, con antecedentes de ingesta continuada de anticonceptivos orales. Los adenomas se originan en los hepatocitos y pueden ser solitarios o múltiples. Habitualmente son isodensos, a veces hipervasculares, y pueden acompañarse de infartos hipodensos, necrosis central, y/o sangrado espontáneo, hiperdenso.
Se recomienda su extirpación quirúrgica por el riesgo de hemorragia aguda y degeneración maligna. Por el contrario, la hiperplasia nodular focal (HNF) no muestra ninguna tendencia a la malignización, contiene conductos biliares, y en las imágenes sin contraste aparece como una lesión hipodensa, a veces hipodensa, pero bien definida. Tras el medio de contraste intravenoso, la HNF a menudo presenta un área central hipodensa, de forma irregular, que representa su aporte vascular central; no obstante, este signo sólo se observa en el 50% de las HNF.

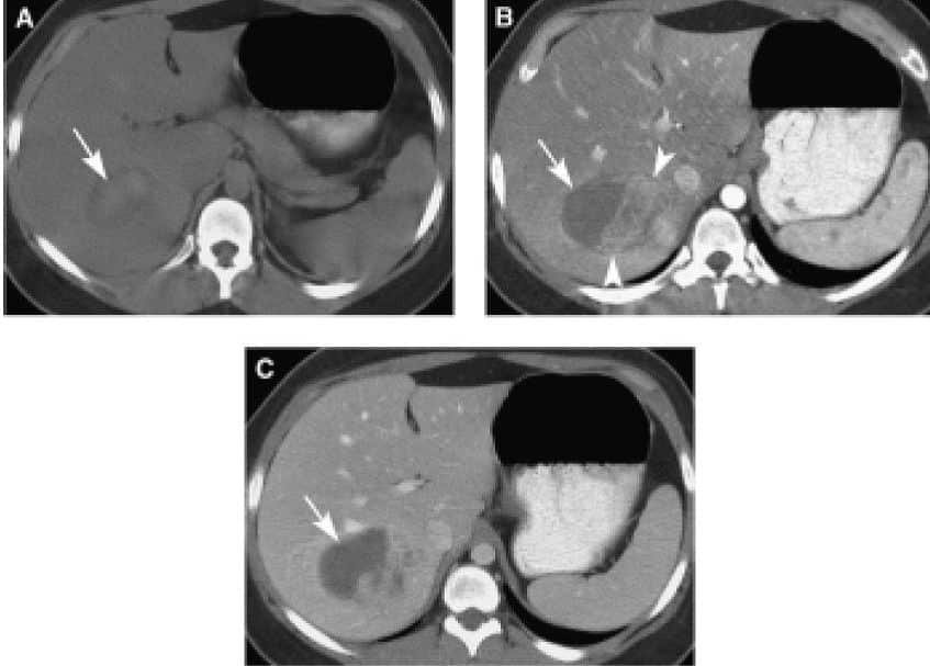
Mujer de 25 años con un adenoma hepático demostrado por biopsia. La imagen precontraste (A) muestra una región hiperdensa de hemorragia. La imagen de la fase arterial inicial (B) muestra regiones de realce rápido. La región de la hemorragia muestra la ausencia de realce en las fases arterial inicial y venosa portal (C).
El carcinoma hepatocelular (CHC) es frecuente en pacientes con cirrosis hepática de larga evolución, y sobre todo en varones de más de 40 años. En una tercera parte de los casos el CHC es solitaria, pero no es raro encontrar lesiones multifocales. También en un tercio de los pacientes, existe trombosis de las ramas de la vena porta por invasión tumoral de su luz. Su aspecto en la TC es extremadamente variable: en las imágenes sin contraste el CHC suele ser hipo o isodenso, y tras la inyección de medio de contraste puede mostrar un realce difuso o bien anular, con necrosis central. Cuando coexiste una cirrosis, es difícil definir el contorno del CHC.
El linfoma secundario debe considerarse en el diagnóstico diferencial por su capacidad de infiltración del parénquima hepático, que puede ser la causa de una hepatomegalia difusa; sin que ello implique, obviamente, que todos los casos de hepatomegalia se deban a un linfoma. Los linfomas no-Hodgkin se parecen al CHC, sobre todo en su vascularización y su crecimiento nodular.
Lesiones hepáticas difusas
Cuando existe degeneración grasa del hígado, la densidad del parénquima sin contraste, que normalmente está alrededor de las 65 UH, se reduce hasta volverse iso o incluso hipodensa respecto a los vasos sanguíneos. En la hemocromatosis, el depósito de hierro provoca un aumento de la atenuación por encima de 90 UH, que puede alcanzar incluso las 140 UH. En estos casos, el contraste natural entre parénquima y vasos es aún mayor. La cirrosis, resultado del daño hepático crónico, presenta un aspecto nodular difuso que suele dar a la víscera un contorno irregular, con abultamientos.

Hepatocarcinoma simulando una LHD
Equinococcis
Los quistes hidatídicos (Equinococcus granulosus) tienen un aspecto multiloculado muy característico, a menudo con septos dispuestos radialmente entre los distintos quistes. Puede ser difícil diferenciar entre quistes colapsados o muertos y otras lesiones intrahepáticas. El lóbulo derecho del hígado es el que con mayor frecuencia se afecta, pero a veces lo es el lóbulo izquierdo o el bazo. La densidad del líquido del quiste suele situarse entre 10 y 40 UH en la TC sin contraste. Es frecuente la calcificación total o parcial de sus paredes, y la membrana externa puede realzar con medio de contraste. El diagnóstico diferencial incluye las infecciones por E. alveolaris y, ocasionalmente, un carcinoma hepatocelular mal definido con lesiones satélites irregulares.
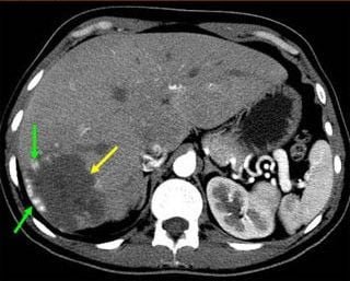
Se puede ver un quiste grande circular y múltiples quistes más pequeños en todo el hígado.







Pingback: Bitacoras.com