Anatomia y protocolo TC de la vesicula biliar
ANATOMÍA
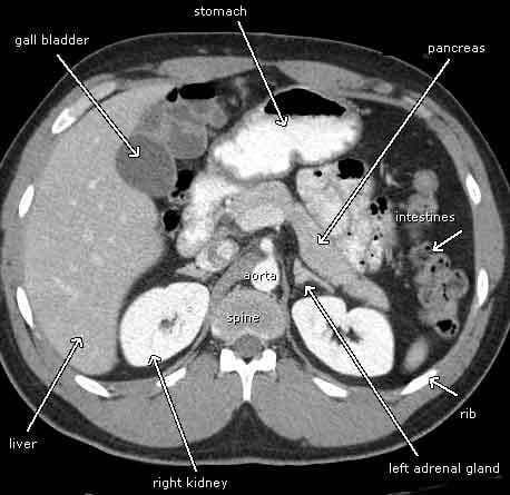
La vesícula biliar constituye un saco en forma de pera, conectada al sistema biliar extrahepático mediante el conducto cístico. Tiene como función almacenar la bilis producida por el hígado.
Los conductos biliares derecho e izquierdo abandonan el hígado por el hilio hepático para formar el conducto hepático. Éste se une al cístico y forman el colédoco que desemboca en la ampolla de Vater.
PROTOCOLO GENERAL PARA VÍAS BILIARES:
– Topograma: En AP. Se programan cortes axiales desde la cúpula hepática hasta el polo inferior de la vesícula o la terminación del colédoco (incluyendo la cabeza del páncreas).
-Grosor del corte: 5 mm
-Movimiento de la camilla: Cada 5 mm
– Contraste: Se realiza opacificación digestiva. Se administra contraste IV en bolus en caso de colecistitis.
-Observaciones: Espiración suspendida. Ventana de abdomen. Las indicaciones más frecuentes son: ictericia de tipo obstructivo y tumores de las vías biliares o de la vesícula.


