Artefactos Fisicos en la TC
Debidos al comportamiento del haz de rayos X al atravesar las estructuras corporales.
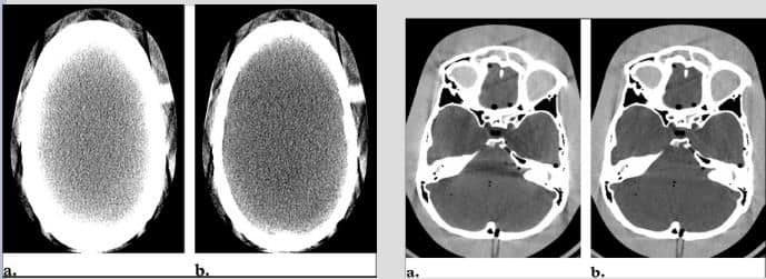
a. Endurecimiento del haz:
Sucede cuando el haz de RX atraviesa estructuras densas que “filtran” los rayos menos energéticos. Se manifiestan por la aparición de líneas negras al no coincidir las lecturas realizadas por distintos detectores.

Se corrigen endureciendo el haz mediante filtración, corrección mediante software adecuado o posicionar bien al paciente.

Imágenes corregidas.
b. Volumen parcial
Aparece cuando un voxel es ocupado parcialmente por estructuras de distinta densidad radiológica. El ordenador hace la media de ellas apareciendo densidades que no existen en el voxel. Las zonas con tejidos de muy diferente densidad, como la base del cráneo, son típicas para la aparición de este artefacto.

c. Bajo muestreo
Producido por información insuficiente para poder reconstruir la imagen.
Se solucionan parcialmente reduciendo colimación y velocidad de rotación del tubo.


Pingback: Bitacoras.com