Diagnóstico Clínico y Enfermería

Abdomen, aparato digestivo y via biliarTécnicas de Exploración Radiológica

Patologías. Tránsito esofagogastroduodenal

Algunas imagenes de las patologías que podemos encontrar con este estudio:

ULCUS

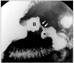
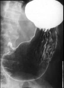
  • ULCUS EN CURVATURA MENOR. NICHO ULCEROSO CON CONTRASTE Y PLIEGUES CONVERGENTES
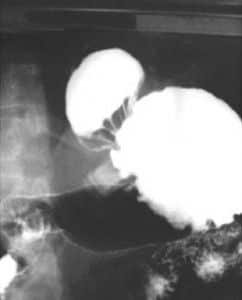
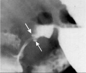
  • ULCUS DUODENAL. DOS NICHOS

 

  • ULCUS CURVATURA MENOR. ESPASMO EN LA MAYOR
  • ULCERA GÁSTRICA ANGULAR
  •  ULCERA DUODENAL

 

TUMORES

  • TUMOR MALIGNO CUERPO Y ANTRO

HERNIAS

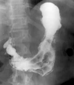
  • DE HIATO
           
  •  DE HIATO-ESTRECHEZ DEL ESTOMAGO
  • GASTRESCTOMIA Y ANASTOMOSIS GASTROYEYUNAL
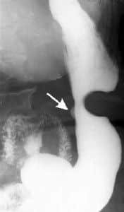
  • ESTENOSIS DISTAL AL BULBO Y NICHO ULCEROSO
  • CANCER DE ESOFAGO Y GÁSTRICO