Lesiones miembro inferior niños
Fragmentación metafisaria presente como fracturas bilaterales.
Hematoma subperióstico calcificado que rodea a la diáfisis humeral.
Fractura pequeña de esquina en la izquierda involucro a la derecha.
Fractura transversal diafisaria de tibia
Hueso perióstico nuevo alrededor de fémur distal de anteriores
traumas.
Fracturas en tallo verde de las metáfisis
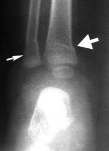
Fractura metafisaria debido a la perturbación traumática de la placa de crecimiento.








Los comentarios están cerrados.