Hematoma subdural en niño (Lesiones causadas por abuso infantil)
Fractura de cráneo (señalada con una cabeza de flecha)
y la extensión dela fractura (flechas) asociados con un hematomoa subdural agudo.
Demostración angiográfica de hematoma subdural agudo
como el espacio oscuro entre la calota y el hueso vascularizado corteza cerebral (flechas).
Hematoma subdural alrededor del lóbulo frontal (flechas)
en TC sin contraste.
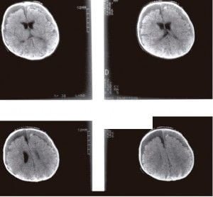
Hematoma subdural bilateral que se extiende en
el espacio interhemisférico (TC sin contraste).
Hematoma subdural de señal baja que separa el cerebro de calvaria (MRI).

Hematoma subdural con , lóbulos temporal, frontal y occipital (MRI).





